علاج التواء العمود الفقري...
د. طوني حايك
كما في كثير من الحالات المرضية، يبدو واضحاً أن الوقاية والكشف المبكر أساسيان في حالة التواء العمود الفقري Scoliosis حيث يبدو واضحاً أن اكتشافها في أولى مراحلها أي في السنوات الأولى (5 سنوات) يساهم في تسهيل العلاج ويخفف احتمال اللجوء إلى العملية التي تبدو حلاً لا بد منه في مراحل لاحقة بعد أن يزداد الالتواء حدةً بشكل ملحوظ خلال سنوات قليلة.
بفحص بسيط يمكن أن يلاحظ الطبيب مؤشرات الالتواء ليحوّل المريض إلى الطبيب الاختصاصي.
كل المعلومات عن التواء العمود الفقري يعطيها هنا الطبيب اللبناني الاختصاصي في تقويم الاعضاء لدى الأطفال طوني حايك الذي يؤكد أهمية العامل الوراثي وضرورة التنبه في حال إصابة أحد الاطفال لاحتمال إصابة الآخرين.
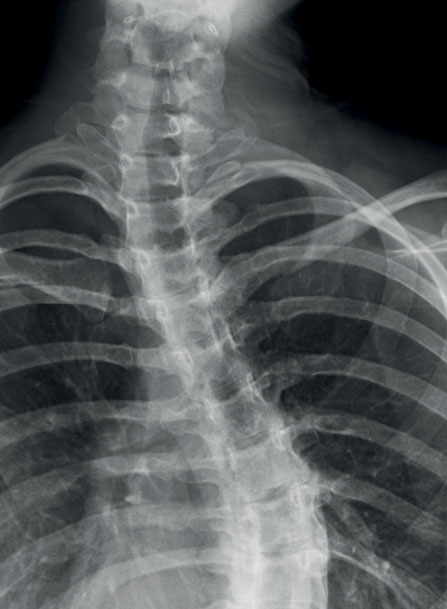
ما هي حالة الScoliosis؟
هي عبارة عن التهاب غير طبيعي في العمود الفقري. فصحيح ان لكل منا التواء في العمود الفقري بدرجة معينة، لكن في هذه الحالة يكون الالتواء لدى من يعاني الScoliosis أكثر حدةً وبشكل مفرط، فقد يبدو العمود الفقري بشكلC أو بشكل S.
كيف يتم اكتشاف التواء العمود الفقري Scoliosis؟
يسبب التواء العمود الفقري حدبة في الظهر تلفت الانتباه ويمكن ملاحظتها مباشرةً. كما يمكن أن يلاحظها أي طبيب لدى انحناء الشخص. ويلاحظ أن أحد الوركين يكون أعلى من الآخر.
أيضاً في الفحص العيادي يلاحظ أن جانبي الجسم غير متماثلين. هذه العوامل كلّها تدعو إلى إجراء صورة شعاعية تؤكد وجود التواء في العمود الفقري.
ما السن التي يمكن اكتشاف التواء العمود الفقري فيها؟
تتطور الحالة بشكل ملحوظ خلال سنوات، واكتشافها في سن 5 سنوات يسهّل المعالجة وتكون نسبة الالتواء 15 في المئة. أما بعد سنوات وفي المراهقة فتصبح النسبة 45 في المئة وبالتالي يزداد الالتواء بشكل كبير ما يزيد صعوبة العلاج.
على ماذا يرتكز الفحص العيادي؟
في الفحص العيادي ثمة أسئلة معينة يطرحها الطبيب على المريض وتتمحور حول تاريخ المرض في العائلة للتأكد من وجود حالات التواء العمود الفقري في العائلة.
أيضاً يطرح سؤالاً عن موعد البلوغ او بداية الطمث، وعن مستوى النشاط الجسدي للمريض وما إذا كان يمارس الرياضة، وعن الألم الذي يشعر به وعن طول كل من الوالدين.
هل يصيب التواء العمود الفقري أياً من الجنسين بنسبة كبرى؟
من الواضح أن التواء العمود الفقري يصيب الفتيات أكثر من الصبيان.
كيف تتم معالجة التواء العمود الفقري؟
إذا كانت نسبة الالتواء لا تتخطى 15 في المئة، يمكن الاكتفاء بجهاز بلاستيكي لتقويم الظهر يوضع 20 ساعة في اليوم ويعتمد بشكل خاص عندما يكون المريض لا يزال في مرحلة النمو لتجنب زيادة نسبة الالتواء.
علماً أن نوعه يختلف بحسب حجم الالتواء وموضعه ويتم تعديله تدريجاً في مختلف مراحل النمو.
على أي أساس يختلف العلاج الخاص بالتواء العمود الفقري؟
يختلف العلاج بحسب عناصر عدة تلعب دوراً في تحديده وهي
- مسبب الالتواء
- موضع الالتواء
- مدى حدة الالتواء
- ما إذا كان الجسم لا يزال في مرحلة النمو.
متى تكون العملية ضرورية لمريض التواء العمود الفقري؟
إذا تخطت نسبة الالتواء 35 في المئة تكون العملية ضرورية. هذا ما يؤكد أنه إذا تم اكتشاف الالتواء في مرحلة مبكرة تكون المعالجة أسهل.
ما المضاعفات التي يمكن أن تنتج عن التواء العمود الفقري؟
- مشكلات في التنفس في الحالات الحادة من التواء العمود الفقري
- ألم في أسفل الظهر
- تراجع في الثقة بالنفس
- التهاب في العمود الفقري بعد الجراحة
- تضرر في العمود الفقري أو الأعصاب على أثر اعوجاج لم يتم تصحيحه أو جراحة في العمود الفقري.
هل يعتبر التواء العمود الفقري وراثياً؟
يلعب العامل الوراثي دوراً مهماً في الإصابة بالتواء العمود الفقري، إذ أنه من الواضح أن حالات عدة تظهر في عائلات.
لذلك، عندما يأتي أحد مصاباً بالتواء في العمود الفقري، من الطبيعي التفكير بأن الأخوة قد يكونون مصابين.
هل يمكن الإصابة بالتواء في العمود الفقري على أثر حادث أو إصابة معينة؟
في بعض الحالات يمكن أن تسبب إصابة معينة التواءً في العمود الفقري.
أنواع التواء العمود الفقري
- في معظم الأحيان تكون أسباب التواء العمود الفقري مجهولة فيكون مجهول الأسباب وتعتبر هذه الحالات الأكثر شيوعاً. في هذه الحالة لا حاجة إلى علاج بل إلى متابعة مستمرة مع الطبيب كل 6 أشهر.
- · قبل سن 3 سنوات يكون التواء العمود الفقري للأطفالJuvenile Scoliosis.
- هذا إضافةً إلى التواء العمود الفقري الذي يظهر عند الولادة وهو خلقي ناتج عن عدم تكوّن عظام العمود الفقري للطفل بشكل جيد. أما التواء العمود الفقري الأخير فهو ناتج عن خلل في الجهاز العصبي يصيب العضلات Neuromuscular scoliosis
مؤشرات التواء العمود الفقري
بشكل عام ليس لالتواء العمود الفقري من أعراض واضحة، لكن يمكن أن تظهر المؤشرات الآتية
- ألم في أسفل الظهر.
- انزعاج في العمود الفقري بعد الجلوس أو الوقوف لمدة طويلة.
- عدم تناسق بين الوركين أو الكتفين حيث يمكن ملاحظة أن إحدى الكتفين تبدو أعلى من الأخرى.
- يبدو العمود الفقري منحنياً أكثر في جهة واحدة.
الأكثر قراءة
أخبار النجوم
لميس الحديدي تكشف تفاصيل استضافة إلهام شاهين...
إطلالات النجوم
ياسمين صبري ترتدي الذهبي والورود الحمراء... عيد...
أخبار النجوم
روان بن حسين في أول ظهور لها بعد خروجها من السجن
إطلالات النجوم
نانسي عجرم تحيّر الجمهور بإطلالتها.. عصرية أم...
إطلالات النجوم
إطلالة سيارا تخطف الأضواء من النجمات في حفل NFL...
المجلة الالكترونية
العدد 1092 | كانون الثاني 2026
