black file

تحميل المجلة الاكترونية عدد 1091

بحث

صحة ورشاقة / صحة عامة

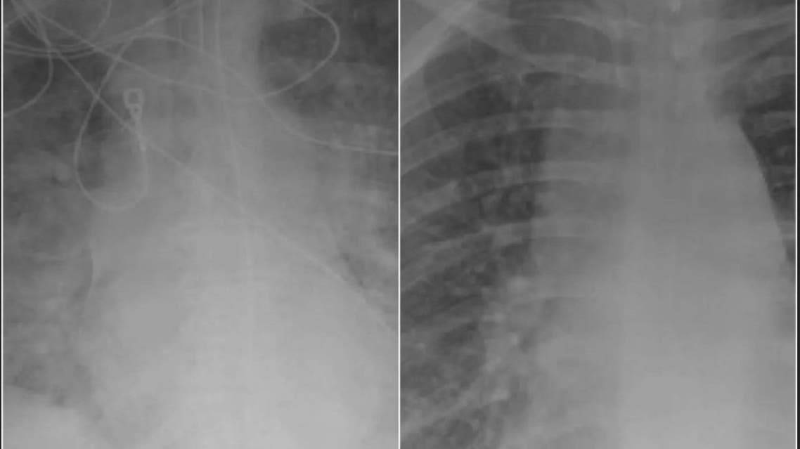
شاهدوا الفرق بين رئتي مصابين بكورونا.. أحدهما تلقى اللقاح والآخر لا

شاهدوا الفرق بين رئتي مصابين بكورونا.. أحدهما تلقى اللقاح والآخر لا

04 آب 2021
مكمّل غذائي يسبّب مشاكل صحية خطِرة كالسرطان!

مكمّل غذائي يسبّب مشاكل صحية خطِرة كالسرطان!

03 آب 2021
أعراض خطِرة يسبّبها نقص اليود في الجسم... احذروا منها

أعراض خطِرة يسبّبها نقص اليود في الجسم... احذروا منها

03 آب 2021
نقص هذه الفيتامينات يسبب الإجهاد والتعب

نقص هذه الفيتامينات يسبب الإجهاد والتعب

02 آب 2021
سلالة

سلالة "دلتا" تشكّل خطراً جدياً على الحوامل!

02 آب 2021
أكثر من 10 فوائد صحية عجيبة لأوراق الموز

أكثر من 10 فوائد صحية عجيبة لأوراق الموز

30 تموز 2021