black file

تحميل المجلة الاكترونية عدد 1091

بحث

صحة ورشاقة / صحة عامة

نصائح روسيّة للتخلص من السمنة والوزن الزائد

نصائح روسيّة للتخلص من السمنة والوزن الزائد

05 حزيران 2021
أسباب الفشل الكلوي وطرق الوقاية منه

أسباب الفشل الكلوي وطرق الوقاية منه

04 حزيران 2021
طبيبة تكشف أسباب الشعور بالتعب المزمن

طبيبة تكشف أسباب الشعور بالتعب المزمن

02 حزيران 2021
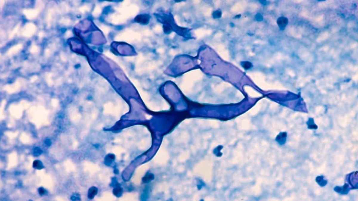
ما هو

ما هو "الفطر الأسود" المميت؟

01 حزيران 2021
السبانخ كنز طبيعي لحماية الجسم من الأمراض

السبانخ كنز طبيعي لحماية الجسم من الأمراض

01 حزيران 2021
علامات مهمة تُنذر بالإصابة بـ

علامات مهمة تُنذر بالإصابة بـ"الفطر الأسود"

01 حزيران 2021